Dr. med. O. Schiffmann
Prof. Dr. med. T. Klingenheben
Dr. med. G. Frhr. von der Recke
Dr. med. A. Völz
0228 - 623324
0228 - 616881
kontakt@bonn-kardiologie.de

Die Kernspintomographie des Herzens ist eine moderne diagnostische Methode um Erkrankungen des Herzmuskels wie Durchblutungsstörungen, Narben und Entzündungen zu erkennen.

Die Kernspintomographie (= Magnetresonanztomographie, MRT) ist eine moderne Möglichkeit, Bilder von Organen des menschlichen Körpers zu erstellen. Im Gegensatz zu vielen anderen radiologischen Verfahren (z.B. der Szintigraphie oder der Computertomographie) werden keine Röntgenstrahlen eingesetzt. Die MRT nutzt zur Erzeugung der Bilder ein starkes Magnetfeld und Radiofrequenzwellen. Sie für den Körper ein sehr schonendes Verfahren.
 
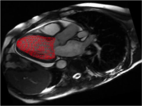
Eine MRT des Herzens kann die Funktion der Herzkammern sehr genau vermessen.Andere Untersuchungsverfahren sind an bestimmte Blickwinkel gebunden. Die Echokardiographie kann z.B. nur von einigen Punkten von der Brustwand aus Bilder des Herzens erstellen. Ein großer Vorteil der MRT ist die Möglichkeit, Bilder des Körpers aus jeder beliebigen Blickrichtung zu erstellen. Quer, schräg, gerade, 3D … Außerdem kann eine Kernspintomographie verschiedene Gewebe (z.B. Muskel, Fett, Blut, Knochen) sehr gut unterscheiden.

Der Schwerpunkt der kardiologischen Anwendung der MRT liegt in der Darstellung von Durchblutungsstörungen des Herzens. In dem Gerät ist allerdings zu wenig Platz, um eine körperliche Belastung durchzuführen. Fahrradfahren oder andere körperliche Belastungen sind so nicht möglich. Für die Untersuchung von Durchblutungsstörungen wird also für den Körper eine Belastungssituation simuliert.

Der dunkle Bereich zeigt eine Mangeldurchblutung an der Hinterwand des Herzmuskels an. Während der Belastungsphase wird die Durchblutung des Herzmuskels sehr hochauflösend dargestellt. Dafür wird ein Kontrastmittel verabreicht. Unter Belastung kann die MRT das tatsächliche Einströmen des Kontrastmittels in den Herzmuskel beobachten und somit den Blutstrom direkt abbilden. Liegen Engstellen in den Koronargefäßen vor, ist die Durchblutung in den abhängigen Gebieten im Vergleich zu Gesunden Arealen vermindert. Eine solche Mangeldurchblutung kann in der Kernspintomographie des Herzens genau erkannt werden. Selbst sehr kleine, nur in der Innenwand des Herzmuskels gelegene Durchblutungsstörungen können deutlich sicherer erkannt werden, als mit einer Szintigraphie.

Narben (hier ein Herzinfarkt) lassen sich mit der Kernspintomographie des Herzens exzellent erkennen.Eine besonders herausragende Fähigkeit der MRT des Herzens ist die Erkennung von Narbengewebe. Ein Herzinfarkt ist eine der häufigsten Ursachen für die Entstehung einer solchen Narbe.  Die Größe und das Ausmaß eines Herzinfarktes sind entscheidende Faktoren für die Prognose einer solchen Erkrankung. Zu weiteren Krankheiten, die zu narbigen Veränderungen im Herzmuskel führen, gehören z.B. Herzmuskelentzündungen, aber auch seltener Stoffwechselstörungen. Die Kernspintomographie des Herzens ist die beste diagnostische Möglichkeit, Narbengewebe des Herzmuskels zu erkennen und zu beurteilen.

Entzündliche Veränderungen können durch die Kernspintomographie im Herzmuskel erkannt werden.Andere Anwendungsgebiete der Kernspintomographie sind die Erkennung von Entzündungen des Herzmuskelgewebes. Weiterhin gibt es eine Reihe eher seltener Erkrankungen, welche den Herzmuskel schädigen können. Die Kernspintomographie liefert hier sehr exakte und verlässliche Aussagen über die Mitbeteilung des Herzens im z.B. Rahmen einer Sakroidose oder einer Amyolidose.

Die Kernspintomographie des Herzens wird seit über 10 Jahren von Herrn Dr. Oliver Schiffmann und Herrn Dr. Giso von der Recke persönlich durchgeführt. Beide besitzen eine ausgesprochene Expertise auf diesem Gebiet. Herr Dr. von der Recke war langjährig Oberarzt am St.-Marien-Hospital und hat diese Untersuchungsmethode dort 2004 eingeführt und etabliert. Dr. Giso v. der Recke ist als einer von bundesweit 47 Ärzten1 von der Europäischen Gesellschaft für Kardiologie ESC  auf "Level 3" (höchste Stufe) als Ausbilder für die Kernspintomographie des Herzens zertifiziert worden.

* Stand 01/2015 www.escardio.org

Wir benutzen Cookies

Wir nutzen Cookies auf unserer Website. Einige von ihnen sind essenziell für den Betrieb der Seite, während andere uns helfen, diese Website und die Nutzererfahrung zu verbessern (Tracking Cookies). Sie können selbst entscheiden, ob Sie die Cookies zulassen möchten. Bitte beachten Sie, dass bei einer Ablehnung womöglich nicht mehr alle Funktionalitäten der Seite zur Verfügung stehen.